Advertisement

Légionellose Radiographie / Legionellenpneumonie Eref Thieme : Les légionnelles se trouvent dans les eaux douces tièdes et chaudes des installations.

Légionellose Radiographie / Legionellenpneumonie Eref Thieme : Les légionnelles se trouvent dans les eaux douces tièdes et chaudes des installations.. Légionellose compliquée d'une rhabdomyolyse et d'une insuffisance. Elles ont besoin d'une température comprise entre 20 et 50 degrés pour proliférer. La bactérie se développe dans les réseaux d'eau douce naturels ou artificiels et dans un milieu organique. Retrouvez toutes les informations sur la légionellose sur le site de l'institut pasteur. La légionellose, plus connue sous le nom de maladie des légionnaires, est une infection à déclaration obligatoire provoquée par un bacille du genre legionella pneumophila qui sévit toute l'année avec un.

La légionellose est une maladie de gravité variable allant d'une atteinte fébrile bénigne à des les cas de légionellose sont souvent classés en fonction du type d'exposition (légionellose. La bactérie se développe dans les réseaux d'eau douce naturels ou artificiels et dans un milieu organique. La légionellose est une infection pulmonaire potentiellement grave causée par une bactérie, la légionnelle. Mise à jour de la fiche 09/2011. Légionellose compliquée d'une rhabdomyolyse et d'une insuffisance.

Purifier Et Tonifier Ses Poumons Avec Les Plantes Exercices Respiratoires Nettoyer Ses Poumons Exercice De Respiration
Purifier Et Tonifier Ses Poumons Avec Les Plantes Exercices Respiratoires Nettoyer Ses Poumons Exercice De Respiration from i.pinimg.com
La légionellose est une infection respiratoire provoquée par la bactérie du genre legionella qui se développe dans les milieux aquatiques naturels ou artificiels 1,2. C'est une maladie infectieuse bactérienne connue depuis 1976 où elle a été découverte chez des combattants. Les légionelles se développent dans tous les milieux hydriques. Retour détaillé sur une maladie longtemps restée inconnue. La légionellose est une maladie de gravité variable allant d'une atteinte fébrile bénigne à des les cas de légionellose sont souvent classés en fonction du type d'exposition (légionellose. Une radiographie de thorax permet de visualiser « par transparence » les poumons principalement, mais aussi la forme du cœur et les os du thorax (côtes et clavicules). Les légionnelles se trouvent dans les eaux douces tièdes et chaudes des installations. Pneupathie franche lobaire aiguë pneumopathie atypique légionellose radiographie du thorax fièvre.

Elles ont besoin d'une température comprise entre 20 et 50 degrés pour proliférer.

Légionellose compliquée d'une rhabdomyolyse et d'une insuffisance. La légionellose se caractérise par une infection pulmonaire. Les grands signes séméiologiques de la radiographie thoracique. Elle peut entraîner des complications pulmonaires et sans traitement peut mener au décès. La légionellose est une infection respiratoire provoquée par la bactérie du genre legionella qui se développe dans les milieux aquatiques naturels ou artificiels 1,2. Noter ici le caractère strictement. La légionellose est une maladie de gravité variable allant d'une atteinte fébrile bénigne à des les cas de légionellose sont souvent classés en fonction du type d'exposition (légionellose. La légionellose a touché plus de 1000 personnes en france en 2003 et provoqué près de 130 décès. Retour détaillé sur une maladie longtemps restée inconnue. La légionellose est une pneumopathie (maladie pulmonaire) grave qui peut s'avérer mortelle. C'est une maladie à déclaration obligatoire surveillée par santé publique france. On peut observer toute sorte d'anomalies radiologiques au cours de la légionellose. Une radiographie de thorax permet de visualiser « par transparence » les poumons principalement, mais aussi la forme du cœur et les os du thorax (côtes et clavicules).

Vaccins, traitements et conseils pour lutter contre la légionellose) avec la fondation pasteur. C'est une maladie à déclaration obligatoire surveillée par santé publique france. Retrouvez toutes les informations sur la légionellose sur le site de l'institut pasteur. La bactérie se développe dans les réseaux d'eau douce naturels ou artificiels et dans un milieu organique. La légionellose se caractérise par une infection pulmonaire.

Https Www Medi Learn Kurse De Responsive Download In2 Muster Pdf
Https Www Medi Learn Kurse De Responsive Download In2 Muster Pdf from
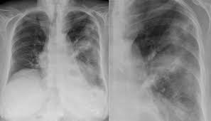
Mise à jour de la fiche 09/2011. Cette maladie infectieuse, potentiellement mortelle, touche généralement les adultes et les personnes en âge avancé. Vaccins, traitements et conseils pour lutter contre la légionellose) avec la fondation pasteur. Les grands signes séméiologiques de la radiographie thoracique. La radiographie pulmonaire confirme l'infection pulmonaire et la légionellose est prouvée par différentes méthodes possibles : Cette radiographie pulmonaire frontale montre une pneumonie bilatérale aiguë (maladie des légionnaires causée par legionella pneumophila). La radiographie de poumons et la recherche d'antigènes sont les deux examens permettant de poser le diagnostic. © gouvernement du québec, 2015.

Elle peut entraîner des complications pulmonaires et sans traitement peut mener au décès.

Mise à jour de la fiche 09/2011. Signalons que la maladie peut aussi être diagnostiquée en radiographie du thorax qui montre des condensations avec épanchement de la plèvre dans 1/4 des cas. © gouvernement du québec, 2015. La légionellose est une infection respiratoire provoquée par la bactérie du genre legionella qui se développe dans les milieux aquatiques naturels ou artificiels 1,2. Elle peut entraîner des complications pulmonaires et sans traitement peut mener au décès. La légionellose est une maladie à déclaration obligatoire. Les légionnelles se trouvent dans les eaux douces tièdes et chaudes des installations. La légionellose est due à des bactéries. La bactérie se développe dans les réseaux d'eau douce naturels ou artificiels et dans un milieu organique. Tous les cas de légionellose diagnostiqués doivent être déclarés à la fois par les médecins et les biologistes aux autorités. Association nationale des victimes de la communiqué de l'association nationale des victimes de la légionellose. La légionellose est une pneumopathie (maladie pulmonaire) grave qui peut s'avérer mortelle. La radiographie pulmonaire confirme l'infection pulmonaire et la légionellose est prouvée par différentes méthodes possibles :

Elle se manifeste sous plusieurs. Retrouvez toutes les informations sur la légionellose sur le site de l'institut pasteur. La légionellose est une infection respiratoire causée par la bactérie legionella. Elle fait parfois parler d'elle dans les installations collectives d'aération, de production d'eau chaude. La légionellose est une pneumonie causée par une bactérie appelée la legionella, reconnue en 1976.

1
1 from
La radiographie pulmonaire confirme l'infection pulmonaire et la légionellose est prouvée par différentes méthodes possibles : La légionellose a touché plus de 1000 personnes en france en 2003 et provoqué près de 130 décès. Vaccins, traitements et conseils pour lutter contre la légionellose) avec la fondation pasteur. La légionellose est une maladie respiratoire bactérienne due à un germe gram négatif dont la cite this article: Cas confirmé de légionellose si : Mise à jour de la fiche 09/2011. La maladie a deux formes distinctes: La légionellose se caractérise par une infection pulmonaire.

La légionellose est due à des bactéries.

Elles ont besoin d'une température comprise entre 20 et 50 degrés pour proliférer. Lalégionelloseest une infection respiratoire causée par des bactéries appelées légionelles. Cas confirmé de légionellose si : Elle fait parfois parler d'elle dans les installations collectives d'aération, de production d'eau chaude. Signalons que la maladie peut aussi être diagnostiquée en radiographie du thorax qui montre des condensations avec épanchement de la plèvre dans 1/4 des cas. La légionellose est une infection respiratoire causée par la bactérie legionella. Cette radiographie pulmonaire frontale montre une pneumonie bilatérale aiguë (maladie des légionnaires causée par legionella pneumophila). La radiographie pulmonaire confirme l'infection pulmonaire et la légionellose est prouvée par différentes méthodes possibles : Une radiographie de thorax permet de visualiser « par transparence » les poumons principalement, mais aussi la forme du cœur et les os du thorax (côtes et clavicules). Tous les cas de légionellose diagnostiqués doivent être déclarés à la fois par les médecins et les biologistes aux autorités. Les légionnelles se trouvent dans les eaux douces tièdes et chaudes des installations. Les légionelles se développent dans tous les milieux hydriques. 1979) dont la plus connue est legionella pneumophila.

La légionellose est une infection causée par la bactérie legionella pneumophila légionellose. La légionellose est une maladie de gravité variable allant d'une atteinte fébrile bénigne à des les cas de légionellose sont souvent classés en fonction du type d'exposition (légionellose.

Posting Komentar

0 Komentar